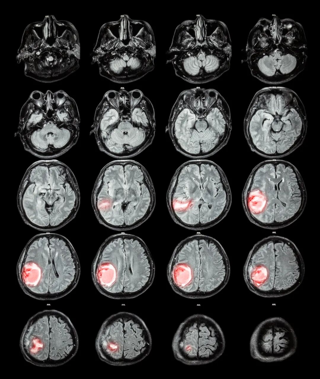
图源:参考文献【2】 原发性脑瘤:这些肿瘤起源于大脑或脊髓本身,而非其他部位的转移。例如: 胶质瘤:来源于支持神经细胞的胶质细胞,占所有脑瘤的50%以上。常见的胶质瘤类型包括: 星形细胞瘤:起源于星形胶质细胞,可分为低级别(如弥漫性星形细胞瘤)和高级别(如胶质母细胞瘤,GBM)。 少突胶质细胞瘤:来源于少突胶质细胞,通常生长缓慢,但也可以表现为高级别的恶性肿瘤。 室管膜瘤:源自大脑或脊髓的室管膜细胞,通常发生在儿童和青少年中。 髓母细胞瘤:一种起源于小脑的高恶性度脑瘤,多见于儿童,是最常见的儿童恶性脑瘤之一。 继发性(转移性)脑瘤:这种肿瘤是身体其他部位(如肺、乳腺或皮肤的黑色素瘤)癌症的转移,形成于大脑或脊髓内。这类脑瘤在成人中比原发性脑瘤更常见。 脑实质肿瘤:如胶质瘤,发生在大脑的功能性组织内。 脑膜肿瘤:如脑膜瘤,来源于覆盖大脑和脊髓的脑膜,通常为良性,但也可能导致严重的症状。 神经鞘瘤:如听神经瘤,起源于神经鞘,常见于听神经,通常为良性。 垂体腺瘤:发生在垂体腺,可影响激素的分泌,导致内分泌问题。 良性脑瘤:这些肿瘤通常生长缓慢,不会侵袭周围的正常组织,如脑膜瘤和大部分垂体腺瘤。 恶性脑瘤:这些肿瘤生长迅速,具有侵袭性,常常侵入周围的脑组织,并可能发生转移。胶质母细胞瘤是其中最具侵袭性的类型之一。 儿童脑瘤:儿童脑瘤与成人脑瘤在类型和发病率上有所不同,髓母细胞瘤和室管膜瘤在儿童中较为常见。 罕见脑瘤:一些罕见的脑瘤类型包括松果体区肿瘤、脊索瘤等。 图源:摄图网 脑瘤的转移方式主要依赖于肿瘤的性质、位置和生物学特性。与其他类型的癌症相比,原发性脑瘤较少发生转移。然而,某些类型的恶性脑瘤仍然有可能通过不同的途径扩散到身体的其他部位或脑内其他区域。 直接扩散:恶性脑瘤可以通过侵入相邻的脑组织来扩展。例如,胶质母细胞瘤(GBM)是高度侵袭性的脑瘤,常常通过直接扩散侵入周围的健康脑组织。 脑脊液传播:一些脑瘤,如髓母细胞瘤和室管膜瘤,可能通过脑脊液传播到脊髓或脑内其他区域。这种传播方式通常见于儿童脑瘤,导致肿瘤在中枢神经系统内的多处复发。 血行转移:尽管原发性脑瘤较少通过血液系统转移到身体的其他部位,但在少数情况下,如胶质母细胞瘤和其他高恶性度脑瘤,可能会转移到肺、骨骼或肝脏等器官。血行转移通常表明病情已经非常晚期,预后较差。 淋巴结转移:原发性脑瘤很少通过淋巴系统转移,因为大脑内的淋巴系统相对有限。但对于那些起源于头颈部的肿瘤,可能会扩散到邻近的淋巴结。 手术播种:在一些情况下,脑瘤手术或活检可能导致肿瘤细胞的种植性转移,特别是在操作过程中肿瘤细胞扩散到手术切口或脑脊液的路径上。不过,这种情况非常罕见。 图源:摄图网 并非所有脑瘤都是不可治愈的,国外论坛上一名网友提问,“切除脑瘤后还能和正常人一样生活吗?”,评论区有很多网友现身说法给予了他生活的信心。(论坛发言截取自Reddit) 译:我有可能得了脑瘤,我担心我是否能度过余生(我只有15岁)。有人能告诉我吗? 译:当然是!!我在19岁时切除了脑瘤,并获得了两个学士学位,目前是一名注册护士。我结婚了,养了两条狗,我参加过铁人三项,每年冬天都滑雪,我在伯利兹和鲨鱼一起潜水,现在我正计划去大峡谷旅行! 译:我在你这么大的时候,他们发现了我的第一个脑瘤。可能在那之前我一直带着它。他们观察了它四年,然后在它长大的时候把它取出来。又过了13年,我的第二个孩子才回来。即使现在有化疗和放疗,我的机会还是很大的。我记得当我十几岁的时候,他们第一次发现我的时候,我非常害怕。焦虑是正常的。但我们在肿瘤科学方面取得了长足的进步。我拿到了学位,帮助抚养侄子,生活得很好。我有个好朋友的妈妈在60多岁的时候,在30岁和50岁的时候切除了两个。她过着充实的生活。这是完全可能的。 译:这取决于你的肿瘤,你切除的效果,以及你选择的治疗方式。很多人的回答都是笼统的“会没事的”。这可能不是真的。我得了少突胶质细胞瘤,g2/3。接受了99%以上的切除,化疗杀死了剩余的细胞。切除后我有一些语言和记忆缺陷。他们康复了,可以全职工作了,还结交了新朋友,这是五年前的事了。我也保持着最亲密的关系。我很年轻:诊断时31/32。现在我快37岁了,可能是我一生中最好的时候。这在恢复中也起着作用。另外,在你被确诊为脑瘤之前不要被困难吓倒。 总体而言,尽管脑瘤的治疗和预后取决于许多因素,但医学的进步以及病友的支持为患者提供了更多的希望。随着医学研究的不断进展,未来将有更多创新的治疗方式,为脑瘤患者带来更多希望和可能性。如有需要帮助可直接联系小愈400-678-6998。






参考文献:
1.https://www.reddit.com/search/?q=esophagus+cancer+advice&type=link&cId=da7bf155-af36-4b2d-8804-5705041b4627&iId=683b4d3d-0d76-4642-8339-ef6815f15b54
2.https://www.mayoclinic.org/diseases-conditions/brain-tumor/symptoms-causes/syc-20350084
3.https://www.hopkinsmedicine.org/health/conditions-and-diseases/brain-tumor
