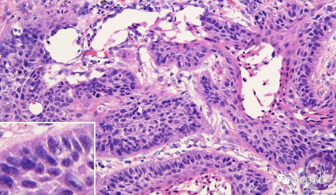
许多人认为肺癌就像是一只魔鬼,一旦被它缠上,就会带来极大的痛苦和折磨。其中,一种常见的分型——肺鳞癌,通常发生在支气管上皮细胞中,严重影响患者的寿命和生活质量。但是,面对这样的病症,我们必须振作起来,积极应对!好的消息是,现在的医学技术已经越来越先进,可以帮助您选择最合适的检测和治疗方案。因此,请不要恐惧,小愈带您一起探讨肺鳞癌的特点,以及如何选择最优的检测与治疗方案。 肺鳞癌特点 肺鳞癌是一种恶性肿瘤,通常发生在吸烟者以及长期吸入有毒物质的人群中。肺鳞癌具有以下特点: 1. 生长速度快:相比其他类型的肺癌,肺鳞癌的生长速度更快,细胞分裂速度迅速。早期肺鳞癌一般无明显症状,晚期常出现咳嗽、咯血、气促、胸痛等呼吸道症状,以及食欲减退、消瘦、乏力等全身性症状。 2. 强烈的浸润性和转移性:肺鳞癌具有强烈的浸润性和转移性,一旦蔓延到周围组织或其他器官,就会对患者的生命造成威胁。因此,及早检测肺鳞癌非常重要。 3. 女性罹患率低:肺鳞癌具有性别差异,男性患病率明显高于女性。 4. 不易诊断:早期肺鳞癌缺乏特异性症状,易被误诊为其他疾病;且肿瘤位于肺的深部,常需依靠影像学检查(如CT扫描、PET-CT)进行诊断,最终需要通过组织病理学检查确诊。 5. 相关病史:长期吸烟、长期吸入雾霾、化学品等有害物质,也是肺鳞癌的主要危险因素之一。 如何检测肺鳞癌 目前,临床上检测肺鳞癌的方法有很多种,常用的方法包括: 1. 病理指标:诊断肺鳞癌的“金标准”,病理医师通过肉眼镜下镜检结合组织切片、染色、免疫组化等手段,观察到肿瘤细胞形态、大小、排列方式、核形态、核分裂像等呈鳞状上皮样生长的特征。客观依据WHO《肺癌的分类和分期》或IASLC/ATS/ERS(国际肺癌协会、美国胸科学会和欧洲呼吸学会)制定的TNM(肿瘤病理的淋巴结、远处转移和原发病变)分期标准进行肺鳞癌的病理类型和分期的判断。 2. X线胸片:X线胸片是一种较为简单、常规的检查方式,可以帮助医生初步了解患者肺部情况,并察觉是否存在肺部异常,但对小的病变或早期的肺癌容易漏诊。 3. CT检查:CT检查是一种更为准确和敏感的检查方式,可以检测出较小的病变。如果胸片有异常,需要进一步评估病变性质和分期,建议进行CT检查。CT技术可以通过三维重建来观察切片图像,辨别穿透肺组织的大小、位置、范围等 4. PET-CT全身扫描:PET-CT全身扫描的灵敏度较高,可以通过放射性核素探测器监测体内代谢变化来检测出疑似癌症细胞或转移的病灶位置,并评估了其分期。 5. 纵隔镜检查:当CT检查发现可疑肺部结节时,需要进一步去探查其性质和分期,纵隔镜检查可以作为进一步的手段,通过活检获取组织样本进行病理诊断。 为了准确检测肺鳞癌,目前广泛采用的检测方法主要还是肺部CT检查和PET-CT全身扫描并最后进行病理检测作为最终结果。 肺鳞癌的治疗 肺鳞癌的治疗方案因患者病情、肿瘤分期、身体条件等因素而异。通常情况下,肺鳞癌的治疗方法包括手术切除、放射治疗、化学治疗和靶向治疗等: 1. 手术切除是一种常规的治疗方式,可以切除原发肿瘤及部分组织,提供良好的治疗效果,有助于病人获得更好的生存率。对于早期病变或肿瘤局限在肺或亚段时,单纯的手术切除已经足够治疗。但如果肿瘤过大或者已经扩散到周围淋巴结,患者需要接受放疗或者化疗的辅助治疗。 2. 放射治疗利用高能X射线杀死癌细胞的治疗方法。对于不能进行手术的患者,放疗可能会为主要治疗方法。它可以缩小肿瘤、控制肿瘤扩散,改善症状和延长生存时间。临床数据显示,同等量放疗联合化疗可以提高生存率。 3. 化学治疗是利用特定的药物杀死癌细胞的治疗方法。一般来说,肺鳞细胞癌对化疗较为敏感,化疗在Ⅲ及IV期已成为必要的治疗手段。通常采用多种药物组合应用以增强其疗。但化疗的主要副作用包括恶心、呕吐、脱发、乏力等,需要适当的对症处理。 靶向治疗是近年来新兴的癌症治疗方法。肺鳞癌的靶向治疗针对HER2、EGFR或PD-1/PD-L1等靶点,可以Target方向性表达癌细胞的基因或蛋白质等分子机制,以阻止异常信号传导,来延长患者生存期和减少治疗的副作用。虽然基因治疗属于定向治疗,但其不适合所有肺鳞细胞癌患者,需要严谨的诊断和临床评估。 总结 综上,对于初期和局限性肺鳞癌,外科手术是目前最有效的治疗方法。经过手术除去肿瘤组织可防止其转移和扩散,挽救患者的生命,并降低肺癌死亡率。进一步,化疗、放疗或靶向治疗等辅助治疗手段也可以被用来扩大手术效果。当然,这些治疗方案需要针对个人情况进行定制。 虽然肺鳞癌听起来可怕,容易扩散和复发,治疗难度也相对较大,但只要我们及早检测和正确治疗,就有机会战胜它。此外,定期筛查常常能够在早期发现异常,减轻病情进展所带来的危害和费用。如果您有吸烟史,家族中存在类似病史,或者长期吸入有毒物质,那么请及时联系专业医护人员进行体检,预防肺癌的风险。对于已被诊断出患有肺鳞癌的患者来说,应该根据具体情况和医生的专业建议选择不同的治疗方案,包括手术切除、放疗、化疗等多种方法,并积极配合治疗过程中的各种检查和支持措施,保持乐观心态,增强身体免疫力,以期更好地战胜这种疾病,重返健康生活。

